Text Us!
Clayton Smiles
A Great Dentist

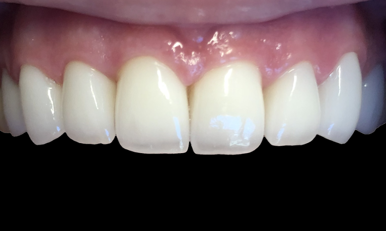
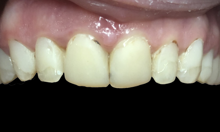
Smile Makeover

This patient suffered from cavities on her front teeth that affected her smile for years.  We placed ceramic crowns to restore her beautiful smile.

 

Service Performed By:

Dr. Kate Dolin
Dr. Adam Spriggs
Improve your smile today – call to schedule a consultation!
If you have difficulty using our website, please email us or call us at (919) 553-7695
View the ADA Accessibility Statement