Text Us!
Clayton Smiles
A Great Dentist

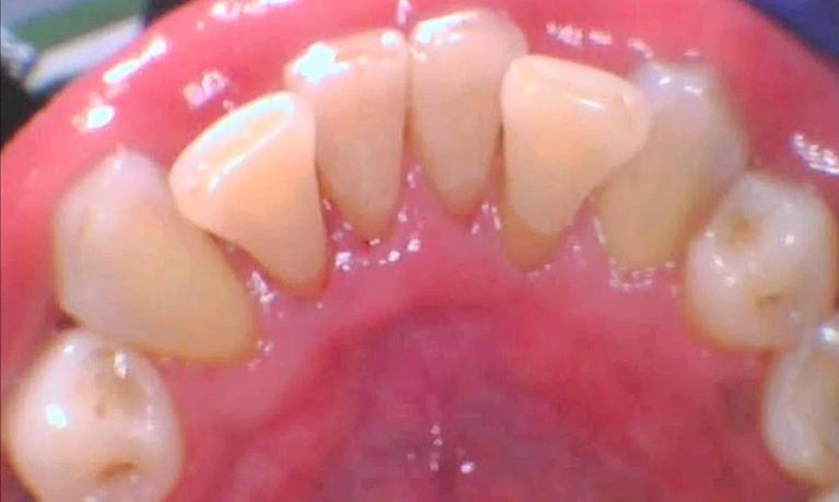
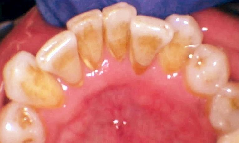
Removing Stain

Stain on your teeth often develops from various food and drinks.  Routine cleaning appointments with our talented dental hygienists not only remove the plaque and tartar buildup but can also remove the staining to restore your beautiful and bright smile.

 

Service Performed By:

Dr. Kate Dolin
Dr. Adam Spriggs
Improve your smile today – call to schedule a consultation!
If you have difficulty using our website, please email us or call us at (919) 553-7695
View the ADA Accessibility Statement