Text Us!
Clayton Smiles
A Great Dentist

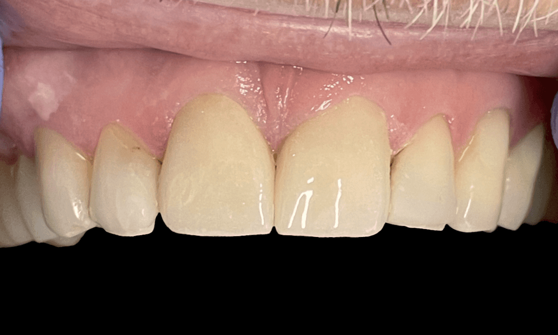
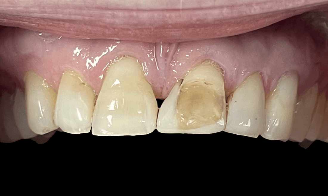
Crowns on Front Teeth

This patient presented with old fillings that were breaking down and discolored.  They were originally placed to close the natural space between the two front teeth.  The fillings were removed and crowns were placed to improve the overall esthetics. 

Improve your smile today – call to schedule a consultation!
If you have difficulty using our website, please email us or call us at (919) 553-7695
View the ADA Accessibility Statement